澳大利亚的人造石材禁令从2024年7月1日起生效。自此,澳大利亚成为了世界上首个宣布禁用工程石材的国家。
SBS普通话节目就此分别采访了三位矽肺病患者,新州工伤保险机构,以及律师和医生为您带来全方位的系列报道。
在前几期节目中,在大理石加工行业从业多年的Michael、James和Dan分别分享了自己的从业经历和患病后遇到的困难和挑战。
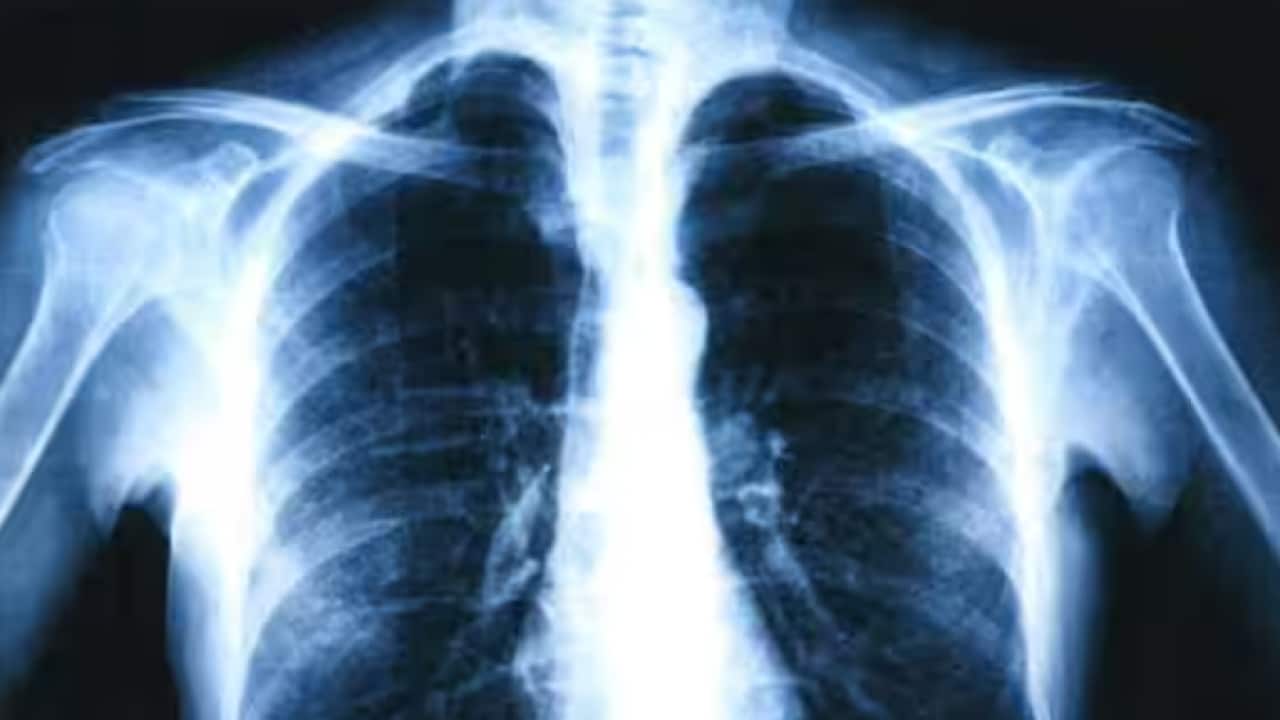
在前几期节目中,三位患有矽肺病的石匠Michael、James和Dan分别分享了自己的患病经历。在采访中,他们都提到矽肺病是一种不可治愈的疾病。
矽肺病虽然不可治愈,但是否有能够减轻病情的治疗方法?高危人群应如何预防?
在本期节目中,记者林沫要请墨尔本的家庭医生张勇要介绍矽肺病的病因,症状以及诊断和治疗方法。
点击音频,收听采访。
欢迎下载应用程序SBS Audio,关注Mandarin。您也可以通过苹果播客、Spotify等播客平台随时收听和下载SBS普通话音频故事。









