目前酸情爆发地已被关闭,曾前往武汉回港的受感染女士已被隔离。
中国政府与港府已作出多项测试,但仍未确定病毒。张慕澄一节【中港快讯】会与大跟报告此不明肺炎的情况。
READ MORE

中國武漢病毒性肺炎爆髮引SARS擔憂:官方正在調查

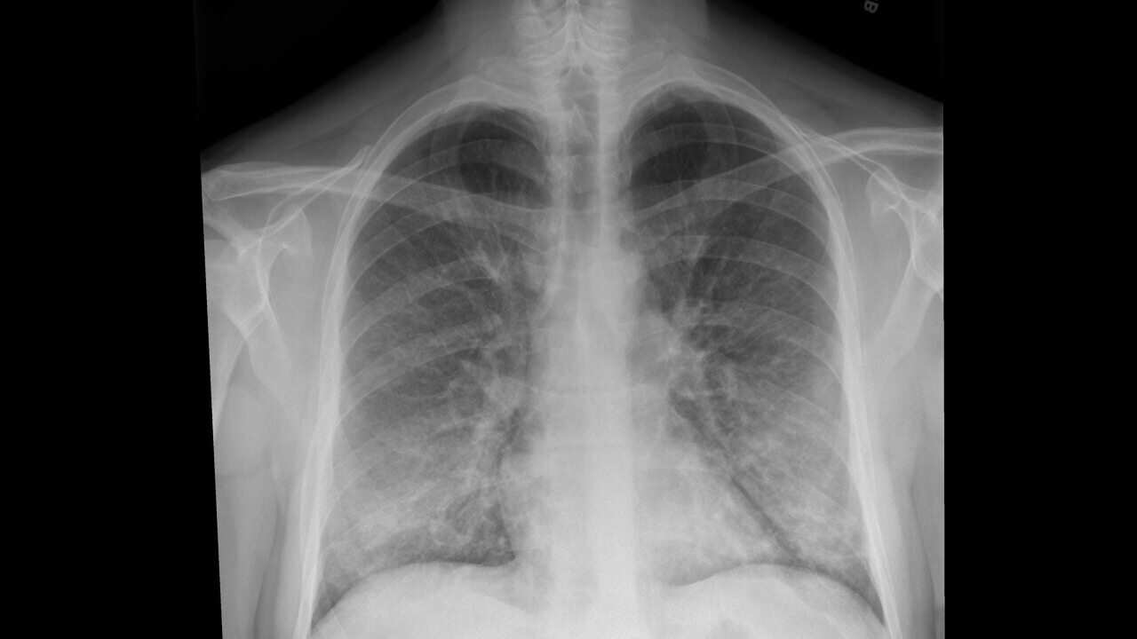
An X-ray of a patient with a vaping habit, showing lung damage densities typically associated with some pneumonias Source: The New York Times
目前酸情爆发地已被关闭,曾前往武汉回港的受感染女士已被隔离。
中国政府与港府已作出多项测试,但仍未确定病毒。张慕澄一节【中港快讯】会与大跟报告此不明肺炎的情况。

中國武漢病毒性肺炎爆髮引SARS擔憂:官方正在調查