*注意:以下內容及圖片或引起公眾不安
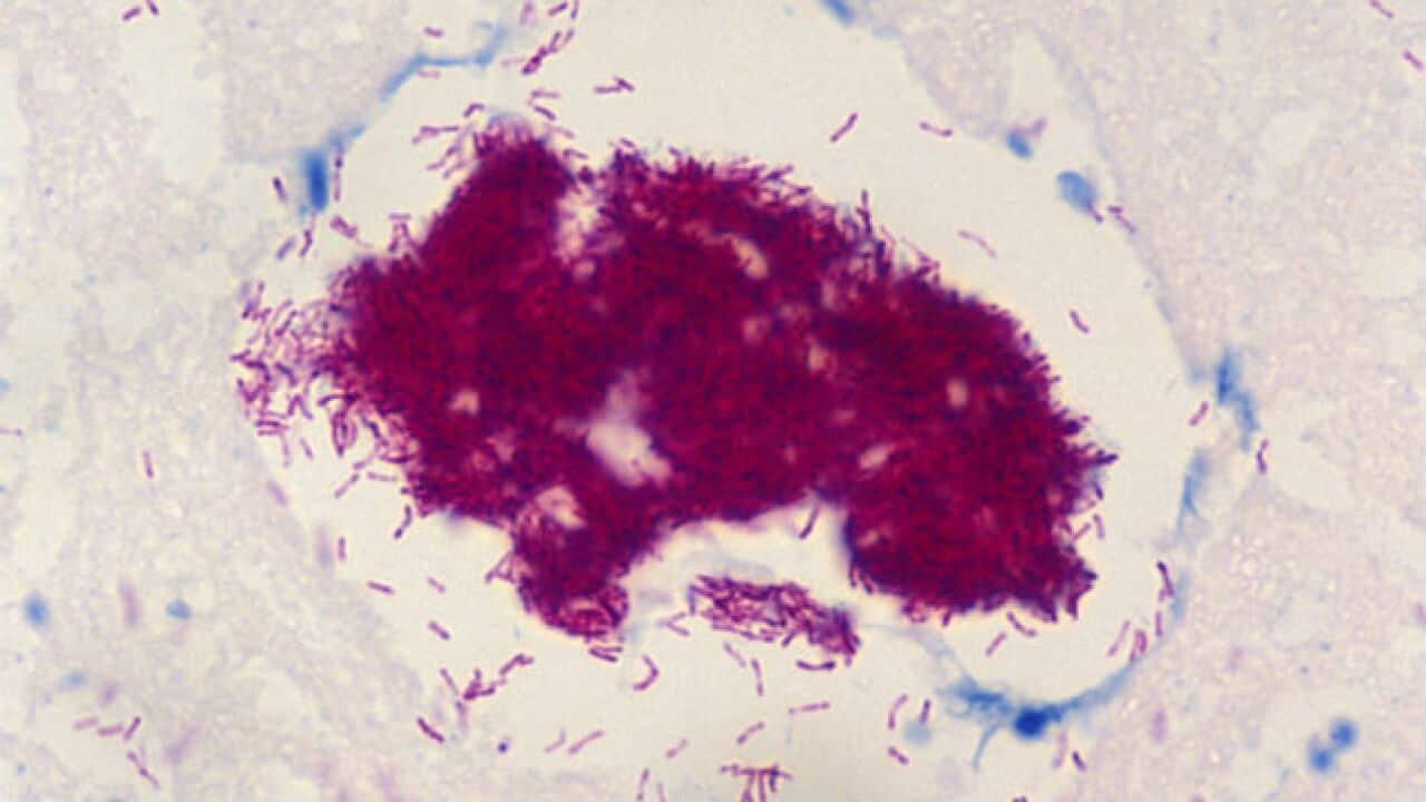
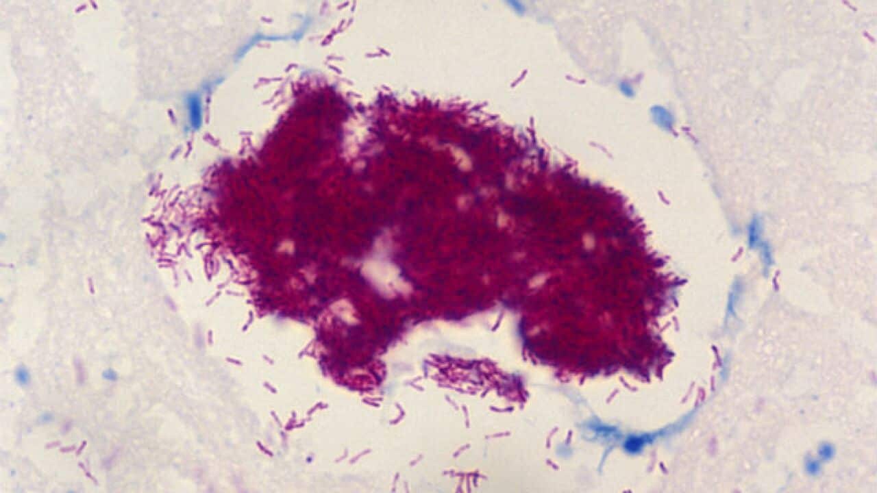
布魯裡潰瘍可引發一系列症狀,從傷口輕微發炎及發燒、至大面積潰瘍不等,若處理不當,嚴重患者有機會導致永久性毀容和截肢。
READ MORE

維州食肉菌爆發「吃掉」少女膝蓋
什麼是布魯里潰瘍?
該病通常出現在手臂和腿部的無痛結節,其後潰瘍的範圍不斷擴大,底部呈黃白色。若早期發現,服用抗生素可以治癒。
在非洲以外,澳洲是自1930年代以來病例最多的主要流行國家,以往在維州Mornington半島的Rye、Sorrento、Blairgowrie和Tootgarook最為常見。
Bellarine半島包括Ocean Grove、Barwon Heads、Point Lonsdale、Queenscliff、Frankston及Seaford地區的感染風險屬於中度。而Bellarine半島、Mornington半島其餘地區、墨爾本東南區和East Gippsland屬於低風險。
維州衛生廳指出,據知布魯裡潰瘍經蚊蟲傳播,潛伏期可達四至五個月。

Source: WHO
市民可使用蚊紗、驅蟲劑、在戶外穿長袖衣物來避免蟲咬。在園藝或戶外工作時,建議佩戴園藝手套、長袖衣物,並減少蚊蟲滋生繁殖的積水。
衛生廳表示,雖然內西區首次出現病例,但目前的感染風險仍然相當低。
現時公共衛生實驗室為患者免費測試布魯裡潰瘍,患者診症後五天內應通知衛生當局。如有任何疑問可向醫生查詢。

Source: WHO
分享



