Узнать больше об эндометриозе, его симптомах, диагностике и лечении можно на сайте австралийской организации Endometriosis Australia.
ВАМ ТАКЖЕ БУДЕТ ИНТЕРЕСНО:

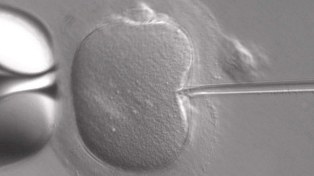
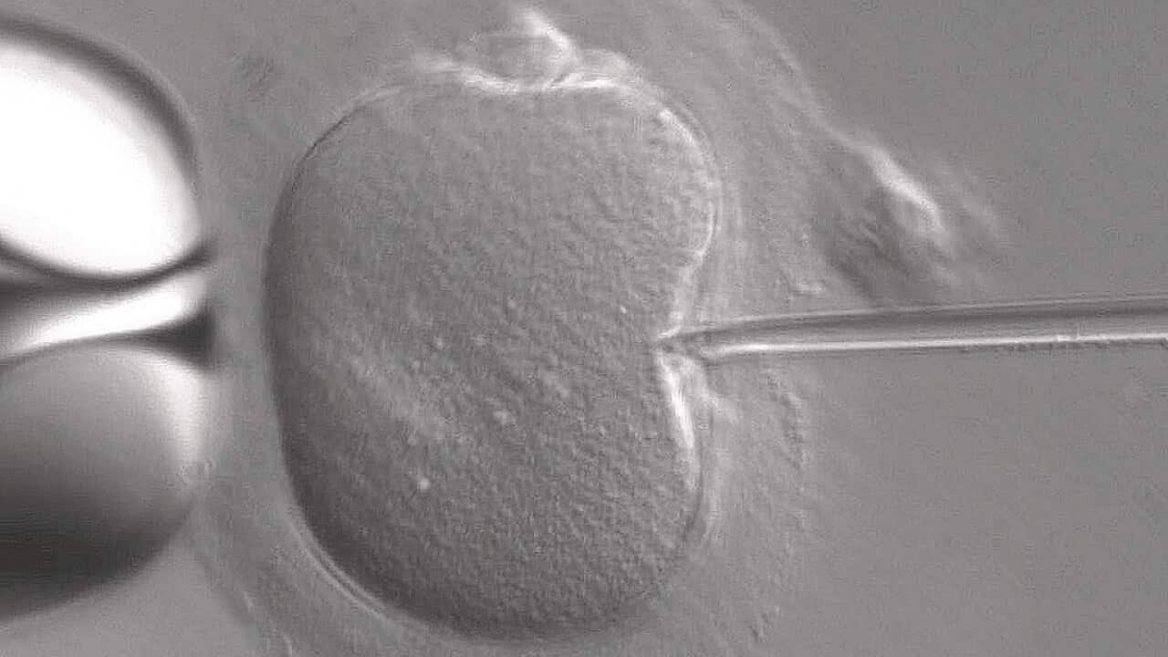
Женщины Виктории поддерживают идею заморозки яйцеклеток за счет работодателя
Слушайте программу на русском языке SBS по понедельникам, четвергам и субботам в 12 часов дня.
Читайте нас в Facebook или подпишитесь на наши подкасты по этой ссылке.




