Experts urge a rethink on screening for lung cancer

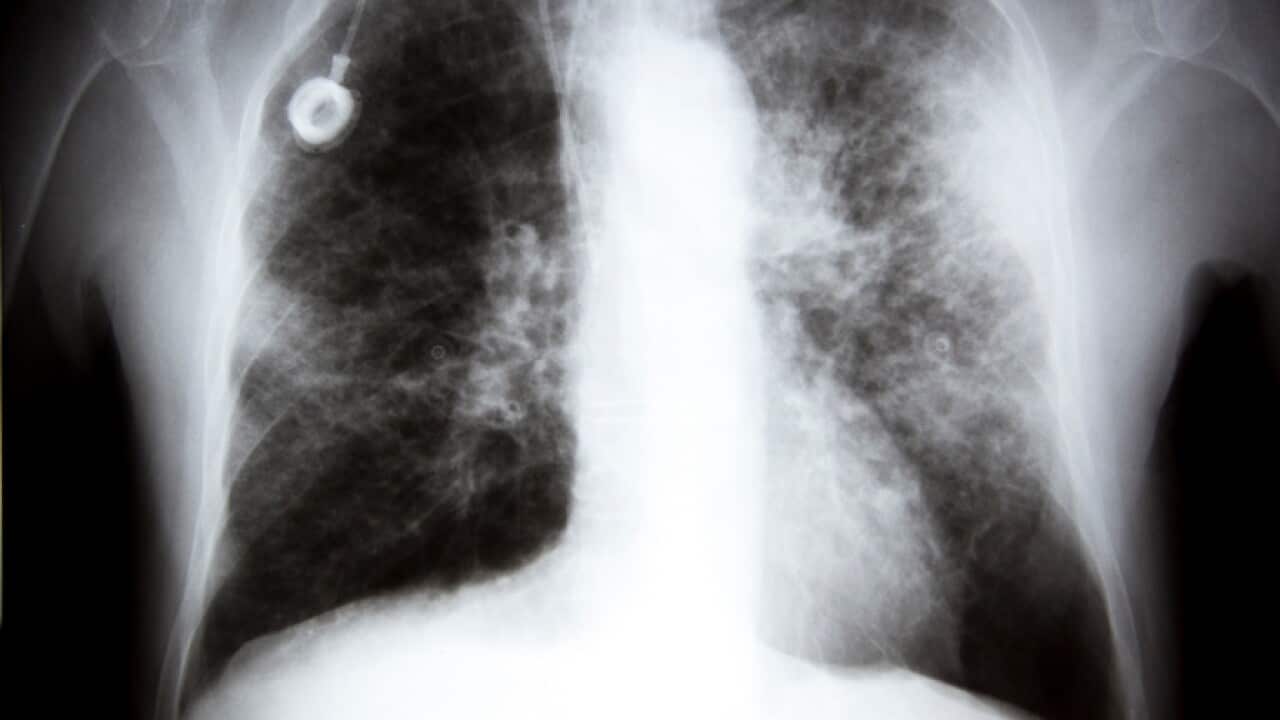
An X-ray showing lung cancer Source: Getty
Lung cancer kills 9,000 Australians each year, or 25 people a day, which is 60 per cent more than the fatality rate of bowel cancer, which is the second deadliest.
Share
Latest podcast episodes
Recommended for you

Trump pulls out of UN climate agreement, 66 bodies deemed 'contrary' to US interests
politics of united states

From Russia to Iran, Venezuela's allies react to the capture of Nicolas Maduro
politics of venezuela










