Kev noj qab nyob zoo rau tej pos hniav.
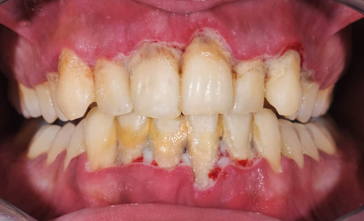
Raws li tau muaj ib cov kev teeb txheeb tshiab ntawm lub koom haum Australian Dental Association coj los qhia ces pom tau tias tseem muaj neeg Australia kub siab txog lawv tej hniav ntau dua cov kev kub siab tu lawv tej pos hniav. Tej no thiaj yuav ua rau muaj teeb meem rau tej pos hniav, yuav ua rau muaj teeb meem rau tej hniav lwj, hniav to qhov los yog muaj lwm yam mob. Yog li ntawd nyob rau lub limtiam Dental Health Week (Thawj limtiam lub 8 hli ntuj 2024) no Dr Mikaela Chinotti uas yog ib tug neeg txhawb nqa kom tau txais kev noj qab nyob zoo rau qov ncauj thiaj muaj qee cov kev taw qhia rau peb tias yuav ua li cas kom thiaj tau txais kev noj qab nyob zoo rau peb lub qhov ncauj, pos hniav thiab hniav.
Raws li tej lus Dr Chinotti tau qhia rau lub chaw nthuav xov xwm MediaCast ces nws yeej txhawb nqa kom txhuam hniav ib hnub ob zaug, thiab siv tej tshuaj txhuam hniav uas muaj cov fluoride xyaw me ntsis, siv xov los dig tej zaug mov khuam daig ntawm yus tej kis hniav tawm, noj tej zaub mov muaj piam thaj xyaw kom tsawg, thiab nquag mus ntsib yus tus kws hniav mus txheeb seb puas muaj teeb meem dab tsi rau yus tej hniav.Dr Mikaela Chinotti, ADA's Oral Health Promoter tsab xo rau neeg Australia limtiam Dental Health Week 2024.
Dr Chinotti hais tias ‘’Lub koom haum Australian Dental Association yeej tau coj ib tsab ntawv cej luam qhia txog nws ib cov kev tshawb fawb uas tau teeb txheeb nrog tej neeg Australia txog cov kev noj qab nyob zoo rau tej pos hniav. Ces txheeb tau tias muaj tej neeg Australia tshaj 50 feem pua yeej tsis xav tias lawv tej pos hniav tseem ceeb thiab kub siab txog lawv tej hniav ntau dua. Tsuas muaj tej neeg txog 20 feem pua uas tau koom cov kev teeb txheeb no thiaj qhia tias pos hniav thiab hniav tseem ceeb tib yam.''
Tab sis cov kev txhuam hniav nkaus xwb puas yuav pab kom tau txais kev noj qab nyob zoo rau peb lub qhov ncauj los yog peb tseem yuav tau ua dab tsi ntxiv kom thiaj tau txais kev noj qab nyob zoo tshaj qub ntxiv?
‘’Peb yeej muaj tej statistic qhia rau peb ua ntuv zus tias yeej muaj tej neeg Australia txog li 75 feem pua yeej tsuas siv xov los dig tej khoom noj daig ntawm tej kis hniav los yog yeej tsis siv li. Kuv kuj tsis muaj peev xwm qhia tias yog tim tej laj thawj dab tsi thiaj zoo li ntawd, tab sis yeej muaj tej statistic li no qhia rau peb, thiab kuj yog tej yam uas peb yuav tau hloov tej xwm txheej no, vim yog ib co hauj lwm tseem ceeb peb yuav tau ua txhua hnub kom thiaj pab tau peb tej hniav thiab pos hniav hais tsi ntsees rau peb tej pos hniav. Thaum peb kawm thiab paub txog tej txheej txheem los tu lawm, ces yog tej yam yooj yim peb muaj peev xwm ua tau txhua hnub. Thiab kuv xav tias muaj qee zaus tsuas yog peb yuav tau xyaum kom sim ua txhua hnub thiab tu txuas ntxiv xwb. Tsis tas li ntawd los cov kev siv tej xov los dig tej khoom noj daig ntawm kis hniav tawm los kuj yog tej yam peb xav taw qhia kom sawv daws ua thiab tsim nyog dig ib hnub ib zaug twg thiaj yuav pab kom tau txais kev noj qab nyob zoo tshaj plaws rau peb tej qhov ncauj,'' raws li Dr Chinotti hais.

Peb puas paub txhuam hniav kom yog raws li qhov tsim nyog txhuam los yog txhuam yog lawm?
Dr Mikaela Chinotti hais ntxiv tias ‘’Yeej muaj tej neeg coob heev totaub txog qhov tseem ceeb ntawm cov kev yuav tau txhuam lawv tej hniav, tab sis kuv xav tias tej zaum tsim nyog ua tib zoo xyuas kom lawv nkag siab zoo txog tsab xo uas qhia rau lawv kom lawv haj yam paub tus tau lawv tej hniav zoo tshaj qub ntxiv thiab. Ces tsis hais yus yuav siv tej txhuam hniav tes los yog txhuam hniav hluav taws xob li, tsuas nyob rau ntawm tias seb yus puas ua tib zoo txhuam tej npoo hniav, kis hniav kom huv si xwb. Tab sis yeej muaj neeg Australia tshaj ib nrab txhuam lawv tej hniav ib hnub ob zaug thiab yeej muaj tshaj li 25 feem pua txhuam lawv tej hniav peb zaug los yog ntau tshaj ntawd rau ib hnub twg, ces zoo li tej neeg thiaj kub siab txhuam hniav heev. Tab sis yeej xav kom ua tib zoo xyuas kom siv tau tej xub ke txhuam zoo uas tej kws rho hniav muaj peev xwm qhia rau nej yog nej ntsib lawv lwm zaus.''
Tab sis vim li cas thiaj tseem muaj ib txhia neeg tsis txhuam lawv tej hniav?
Dr Chinotti qhia ntxiv tias ‘’Yeej muaj ob peb yam uas tej zaum ua rau tej neeg pheej tsis txhuam hniav, tej zaum yog lawv tsis nkag siab tias yuav txhuam li cas. Tej zaum kuj yog tim tsis muaj tej khoom siv li tsis muaj pas txhuam hniav, tsis muaj tshuaj txhuam hniav, los yog pheej nrhiav tsis tau ib qho chaw twg txhuam hniav txhua hnub.''
Nws thiaj qhia qee yam tswv yim coj los pab peb kom tau txais kev noj qab nyob zoo rau peb tej pos hniav.
‘’Muaj ob peb yam pab tau peb li yuav tsum tu kom peb lub qhov ncauj huv si li txhuam peb tej hniav ob zaug ib hnub twg li thaum sawv ntxov thiab tsaus ntuj, txhuam ntawm tej kis hniav txhua hnub, thiab yog tias yus muaj peev xwm mus ntsib thiab cuag kws hniav ces mus ntsib lawv seb puas muaj teeb meem dab tsi rau yus tej hniav. Ntxiv ntawd ces tseem muaj ob peb yam uas tej zaum yuav ua rau muaj teeb meem rau peb tej pos hniav thiab, li yog yus haus luam yeeb ces tej zaum yuav mob pos hniav tau. Ces thiaj xav kom xaus tsis txhob haus ntxiv lawm. Txuas ntxiv ntawd los tej zaum kuj muaj ib yam mob twg li mob ntshav qab zib uas yuav ua rau mob pos hniav thiab. Yog li ntawd thiaj xav kom tej neeg mob ntshav qab zib kub siab tu lawv tej pos hniav. Ces thiaj xav kom mus ntsib kws hniav yog tias muaj peev xwm ua tau.''

Tab sis puas yog tag nrho sawv daws muaj peev xwm siv tau cov dental care ntawm teb chaws Australia no?
Dr Chinotti hais tias ‘’Muaj ob txoj xub ke uas peb muaj peev xwm siv tau cov dental care ntawm Australia no. Thawj yam ces yog yus muaj private health insurance siv ces yus yuav tau rho nyiaj ntiag tug them tej nqe kho/rho hniav ua ntej ces mam claim tom qab. Txuas ntxiv ntawd ces kuj muaj peev xwm siv tau cov public dental system los yog government dental health system, uas txhua txhua 1 tug ntawm 3 tug neeg Australia twg yeej muaj cai siv tau. Txawm tias tej zaum kuj tsis tau them nqe dab tsi los muaj qee zaus ces kuj yuav tau them me ntsis rau cov kev teem caij mus ntsib tej kws hniav thiab, tsuas nyob ntawm seb yus ho nyob rau lub xeev twg xwb. Tab sis yog tej yam tsis muaj hmoo uas cov public dental system no pheej yuav tau tos ntev mam tau siv vim yuav tau teev npe tos yus nceeg (tos yus thib). Ces thiaj yog tej yam tseem ceeb uas yuav tau ua tib zoo txheeb seb yus puas yog tej neeg muaj cai siv tau cov services no thiab yuav tau teev yus npe.''
Dr Chinotti los kuj hais ntxiv tias raws li ntiaj teb lub koom haum tswj cov kev noj qab haus huv rau tej hniav (World Dental Federations) ntau cov kev tshawb fawb hais ''ces yog tias yus tsis kub siab xyuas kom tau txais kev noj qab nyob zoo rau yus lub qhov ncauj ces tej zaum kuj yuav ua rau yus tsis tau txais kev noj qab nyob zoo. Thiab yeej tau muaj pov thawj tim khawv qhia lawm tias cov kev mob pos hniav no yuav muaj feem cuam tshuam ua mob rau tej mob plawv thiab hlab plawv, kab mob ntshav qab zib hom ob thiab mob tej plab hnyuv thiab.''
Tej xov xwm uas koj muaj peev xwm nyeem tau ntxiv:
Mloog tau SBS Hmong hnub zwj Teeb (Thursday) 6 pm, hnub zwj Hnub (Sunday) 11 am, los yog koom tau ntxiv ntawm Facebook, Google podcasts, Spotify thiab Apple podcasts. Download SBS Audio app thiab caum SBS Hmong pod follow.






